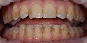
зубных тканей
Стеклоиономеры: волшебный мир уникальных материалов для стоматологии и не только Когда мы слышим слово "стеклоиономеры", перед нашим внутренним
Обзор стеклоиономеров: все, что нужно знать о современном материале в стоматологии и не только В современном мире материалов для укрепления и восстановления


