- Прессованная керамика для изготовления вкладок и накладок: современный подход к зубной реставрации
- Что такое прессованная керамика и почему она стала популярной в стоматологии?
- Процесс изготовления вкладок и накладок из прессованной керамики
- Первый этап: подготовка модели и выбор цвета
- Второй этап: моделирование и подготовка к прессовке
- Третий этап: прессование и обжиг
- Преимущества и недостатки прессованной керамики
- Преимущества
- Недостатки
- Личный опыт работы с прессованной керамикой — что мы можем сказать?
- Вопрос-ответ: Какие основные преимущества прессованной керамики для зубных вкладок и накладок?
- Подробнее
Прессованная керамика для изготовления вкладок и накладок: современный подход к зубной реставрации
В современном мире стоматологии технология изготовления зубных вкладок и накладок постоянно развивается, предлагая все более надежные и эстетичные решения. Одним из таких инновационных материалов является прессованная керамика, материал, который сочетает в себе прочность, долговечность и великолепную эстетическую составляющую. В этой статье мы расскажем о характеристиках прессованной керамики, процессе ее изготовления и преимуществах, а также поделимся нашим личным опытом работы с этим материалом, чтобы помочь вам лучше понять его возможности и особенности.
Что такое прессованная керамика и почему она стала популярной в стоматологии?
Прессованная керамика — это современный стоматологический материал, который используется для изготовления вкладок, накладок, венеров и коронок. Основная особенность этого материала заключается в процессе его производства — прессовании расплавленной или пастообразной керамической массы под высоким давлением и температурой. Такой способ обеспечивает исключительную плотность и однородность структуры, что напрямую воздействует на высокую прочность и долговечность конечного изделия.
В отличие от традиционных технологий, где керамика формируется из порошка и обжигается, прессованная керамика обладает следующими преимуществами:
- Высокая точность и стабильность размеров, процесс прессования позволяет добиться максимально точного попадания в форму, что важно для аккуратной и эстетичной установки
- Отличная эстетика — материал обладает естественным блеском и прозрачностью, что позволяет имитировать натуральную эмаль
- Повышенная прочность и устойчивость к изломам — за счет плотной структуры и высокотемпературной обработки
Все эти свойства делают прессованную керамику одним из лучших материалов для зубных реставраций, особенно в случае передних зубов, где важна не только функциональность, но и эстетика.
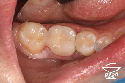
Процесс изготовления вкладок и накладок из прессованной керамики
Процесс изготовления вкладок и накладок из прессованной керамики включает несколько этапов, каждый из которых требует внимательности и профессионализма. В основе лежит создание точной модели будущего изделия, подбор цвета и формы, а также последующая прессовка и обжиг. Ниже рассмотрим этапы более подробно.
Первый этап: подготовка модели и выбор цвета
- Изготовление или сканирование слепка зубов пациента — важный этап для точной адаптации реставрации
- Подбор оттенка керамики, максимально соответствующего естественной эмали пациента — в этом нам помогает специальная палитра и цифровые технологии
Второй этап: моделирование и подготовка к прессовке
- Создание мастер-модели на основе слепка — непосредственно в лаборатории или с помощью цифровых технологий
- Изготовление временной формы силиконовой или другой формы — для пресса керамики
- Подготовка к оптовому прессованию: заготовка керамической массы, подготовка к пресс-форме
Третий этап: прессование и обжиг
| Этап | Описание |
|---|---|
| Прессование | Подготовленная керамическая масса нагревается до высокой температуры и под высоким давлением прессуется в форму, создавая прочное и однородное изделие |
| Обжиг | Полученное изделие проходит печь при контролируемых температурах, что обеспечивает его плотность, прозрачность и отличную эстетику |
| Финишная обработка | Шлифовка, полировка и проверка посадки — окончательные шаги для достижения идеальной формы и цвета |
Все эти этапы требуют высокого профессионализма, так как точность и внимание к деталям обеспечивают долговечность и эстетику готового изделия.
Преимущества и недостатки прессованной керамики
Рассмотрим наиболее важные плюсы и минусы этого материала, чтобы у вас была полная картина и возможность принять обоснованное решение при выборе реставрации.
Преимущества
- Высокая эстетика — прозрачность, блеск и натуральный внешний вид делают прессованную керамику очень похожей на собственную эмаль
- Прочность — материал устойчив к изломам и механическим воздействиям, что особенно важно для жевательных зубов
- Долговечность — правильный уход позволяет сохранять качество реставрации на десятки лет
- Точная посадка — процесс прессования обеспечивает идеально точное соответствие формы и размера
Недостатки
- Стоимость — из-за сложности изготовления и высококачественных материалов цена на прессованные изделия выше, чем на другие виды реставраций
- Требовательность к технологиям — необходимое оборудование и подготовка требуют наличия современных лабораторий и опытных специалистов
- Ограничения по цветовой палитре — хотя прессованная керамика очень эстетична, иногда сложно точно повторить очень специфичные оттенки
Тем не менее, благодаря своим преимуществам, прессованная керамика остается одним из лидеров среди материалов для реставрации зубов.
Личный опыт работы с прессованной керамикой — что мы можем сказать?
Наши специалисты в области стоматологии и лабораторных технологий уже длительное время используют прессованную керамику в своей практике. Благодаря этому у нас сформировалось четкое понимание всех тонкостей и нюансов этого материала. Мы видим, что пациенты высоко ценят эстетические результаты и долговечность реставраций, выполненных из прессованной керамики.
Особенно важно подчеркнуть, что качество конечного результата напрямую зависит от профессионализма стоматолога и лабораторного техника. Поэтому мы постоянно обновляем свои знания и совершенствуем технологические процессы. Наш опыт показывает, что забота о деталях, точное соблюдение технологических этапов и правильный подбор оттенков позволяют добиться максимально естественного вида и увеличивают срок службы реставраций.
Еще одним важным аспектом является уход за прессованной керамикой. Мы рекомендуем избегать слишком жесткой химии или механических воздействий, соблюдать гигиену полости рта и своевременно проходить профилактические осмотры. При правильном уходе изделия служат десятилетиями, радуя своего владельца эстетикой и функциональностью.
Вопрос-ответ: Какие основные преимущества прессованной керамики для зубных вкладок и накладок?
Вопрос: Почему прессованная керамика считается одним из лучших материалов для зубных вкладок и накладок?
Ответ: Прессованная керамика обладает уникальным сочетанием высокой прочности, эстетической натуральности и долговечности. Ее производство включает процесс прессования и обжига, что обеспечивает плотность и стабильность размеров. Такой материал идеально подходит для реставрации как передних, так и жевательных зубов, сочетая красоту и функциональность. Кроме того, она менее подвержена сколам и изломам по сравнению с обычной керамикой, а сложности изготовления окупаются превосходным результатом и долгим сроком службы.
Подробнее
Что такое прессованная керамика и как она делается?
| Этап | Описание |
|---|---|
| Подготовка модели | Создание слепка или цифровое сканирование, подбор оттенка |
| Изготовление формы | Создание формы из силикона или другого материала для прессовки |
| Прессование | Заполнение формы керамической массой и прессование под высоким давлением |
| Обжиг | Обжиг изделия для повышения плотности и эстетики |
| Финальная обработка | Шлифовка и полировка для идеальной посадки и внешнего вида |







