Использование прессованной керамики: Технология и впечатляющие результаты
Когда мы задумываемся о современных материалах для реставрации зубов или создания высокотехнологичных изделий, на ум неизбежно приходят различные виды керамики. Среди них особенно выделяется прессованная керамика — материал, сочетающий в себе превосходные эстетические показатели и высочайшую прочность. Насколько она эффективна и как осуществляется технология ее использования? В этой статье мы подробно расскажем о преимуществах прессованной керамики, технологиях ее изготовления, а также продемонстрируем реальные результаты, которых удалось добиться благодаря ее применению.
Что такое прессованная керамика и зачем она нужна?
Прессованная керамика — это высокотехнологичный материал, получаемый путем прессования специальных керамических порошков под высоким давлением и температурой. В отличие от стандартных методов изготовления, таких как литье или механическая обработка, прессование позволяет добиться очень высокой плотности материала, а значит, обеспечить его долговечность и эстетическую привлекательность.
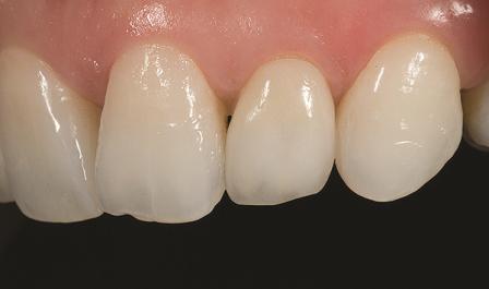
В стоматологии прессованная керамика широко применяется для изготовления коронок, вкладок, виниров и мостов. Эта технология позволяет создавать конструкции с максимально точными анатомическими формами, полностью имитирующими природные зубы и десны.
Технология производства прессованной керамики
Процесс изготовления прессованной керамики состоит из нескольких основных этапов, каждый из которых играет важную роль в обеспечении качества конечного продукта. Ниже представлена пошаговая схема технологического процесса:
| Этап | Описание |
|---|---|
| Подготовка сырья | Используются специальные керамические порошки с заданными характеристиками, соответствующие требованиям к плотности и прозрачности. Порошки тщательно смешиваются и проходят контроль качества. |
| Формовка заготовки | Полученная смесь помещается в пресс-форму, где под действием давления формируется заготовка нужной формы и размеров. |
| Обжиг | Заготовка проходит через высокотемпературную печь, где происходит спекание — связка частиц и достижение высокой плотности. |
| Финишная обработка | После обжига проводится шлифовка и полировка, чтобы добиться гладкости поверхности и идеально точной формы. |
| Вкладка или коронка | Готовая керамическая заготовка примеряется к подготовленному зубу, после чего осуществляется финальный этап коррекции и фиксации. |
Преимущества данной технологии:
- Высокая прочность — благодаря плотности материала и качеству спекания.
- Эстетика, прозрачность и натуральный внешний вид максимально приближены к натуральным зубам.
- Долговечность, изделия служат много лет при правильном уходе.
- Минимальная обработка, за счет точного изготовления уменьшается необходимость в дополнительных подгонках и обработке.
Результаты и отзывы специалистов
Практика показывает, что использование прессованной керамики дает впечатляющие результаты. В клинической практике врачи отмечают, что конструкции, выполненные из этого материала, отличаются высокой стойкостью к механическим нагрузкам и великолепной эстетикой. Особенно заметны успехи в восстановлении передних зубов, где важна естественная прозрачность и тонкость работы.
Положительные отзывы пациентов и специалистов свидетельствуют о том, что благодаря прессовке удалось значительно снизить количество повторных визитов, связанных с подгонкой и коррекциями. А продолжительный срок службы — в среднем более 10 лет — подтверждает высокое качество изготовленных изделий.
| Показатели | Результаты |
|---|---|
| Прочность | Высокая сопротивляемость к трещинам и сколам. |
| Эстетика | Натуральный внешний вид, высокое соответствие оттенка и прозрачности. |
| Долговечность | Много лет службы без необходимости частых ремонтов. |
| Минимизация обработки | Меньше времени на коррекции и подгонки. |
Однозначно можно сказать, что использование прессованной керамики, это один из наиболее перспективных методов в современной стоматологии для создания высококачественных протезов. Она сочетает в себе безупречные эстетические показатели и исключительную прочность, что делает ее идеальным выбором для восстановления улыбки. Несмотря на относительно более высокую стоимость по сравнению с классическими материалами, результат окупает все вложения благодаря долговечности и естественному внешнему виду.
Иной раз даже небольшая разница в качестве материалов становится заметной с точки зрения долговечности и эстетики, особенно в зонах, подверженных высоким механическим нагрузкам. Поэтому, если вы решаетесь на восстановление зубов и хотите стать обладателем естественной, прочной и долговечной улыбки — технология прессованной керамики точно заслуживает вашего внимания;
Часто задаваемые вопросы
Вопрос: Как долго служит прессованная керамика и какие факторы влияют на ее срок службы?
Ответ: В среднем такие изделия служат более 10 лет при правильном уходе. На срок службы влияют качество материалов, соблюдение протоколов установки, гигиена полости рта и интенсивность нагрузок. Регулярные осмотры у стоматолога помогают определить состояние протеза и вовремя провести необходимые корректировки.
Подробнее
| прессованная керамика для зубов | технология изготовление керамических коронок | преимущества прессованной керамики | лучшие материалы для зубных протезов | отзывы стоматологов о прессованной керамике |
| реставрация зубов прессованной керамикой | сравнение керамики и металлокерамики | стоимость прессованной керамики | отличия прессованной керамики от CAD/CAM | уход за зубами с прессованной керамикой |
| прессованная керамика для виниров | новейшие разработки в стоматологии | сроки изготовления керамических коронок | прочность керамических протезов | обратная связь пациентов |







